半年間のPHIJ東京コースが終了しました!
内容は、王道の予防歯科であるMTM(メディカルトリートメントモデル)を導入する実践型のコースです。
三浦歯科では、2024年11月からMTMを導入しました。
MTMを実践してみると、患者様にとってたくさんのメリットがあるので本記事ではMTMと予防歯科についてお話しできればと思います。
目次
MTMとは?
MTMは『メディカルトリートメントモデル』の略称で、リスク評価を行い、病気の原因追及をして、最小限の治療介入を実施し、メインテナンスへと移行する流れを指します。
予防先進国のスウェーデン、イエテボリ大学のBo Krasse教授(下写真)が提唱したモデルとなります。

Bo Krasse教授は、歯科と医科の治療介入における違いを指摘しています。
医科の場合は、病気になった原因追及してから対応します。その一方で、歯科医療は病気になった箇所のみ治療をして、病気になる原因を治してはいないという違いです。
これは、むし歯治療を例にすると、
『むし歯になった部分を削る、詰める』という治療行為のみでは、
実際にむし歯を作り出しているお口の中の環境を治しているのではないという指摘となります。
つまり、
削って詰めるという治療主体の介入では、むし歯の原因を治している訳ではないので、再発の可能性があります。

原因に焦点をあてて『内科的』に治療をしていく歯科医師を『Oral Physician(口腔内科医)』と呼びます。これは削る治療を主体とする『外科的』な行為との対比となります。
Oral Physicianは、削る治療はしないのか?
削って詰める治療も勿論必要があれば行います。しかしながら病気の原因追及をまず行うという姿勢が、再治療を減らすことになります。
歯を失うサイクル『リピーテッド・レストレーション・サイクル』とは?
“むし歯→削って治療→またむし歯になる→削って治療”
を繰り返していくと、歯の量がだんだんと減っていきます。
修復できるかどうかは残っている歯の量に関連しますので、最終的には抜歯に繋がります。
むし歯の治療を繰り返すことで歯が失われていくことを『リピーテッド・レストレーション・サイクル』と言います。
![]()
『最初は歯の量はたくさんあったのに何で?』
『またむし歯ができてしまった!』
このサイクルを止めるには、前述した“病気の原因追及をすること”で回避できます。
また、“患者様自身が歯を失う病気に対しての理解”や“予防するための知識を持っていること”もとても重要となります。
リスクの分析って何をするの?唾液検査って?
歯を失う原因として主に挙げられるのが、『むし歯』と『歯周病』になります
2018年実施された調査から、歯の喪失理由は歯周病が37%、むし歯が29%と明らかになりました(https://www.8020zaidan.or.jp/pdf/Tooth-extraction_investigation-report-2nd.pdf)
唾液検査は、『むし歯』のリスクを可視化するためのツールになります
唾液検査では
・細菌の量
・唾液の緩衝能(酸性をアルカリ性に戻す)
・唾液の量
を調べます。
唾液は、むし歯予防にとってとても重要な防御因子です。
唾液の働きによって、歯の補修やむし歯で歯が溶けていく過程の防止に繋がります。
唾液の働きの程度は、個々によって異なるためむし歯になるリスクが変わります
また、食生活のアンケートを実施することや、フッ化物が適正に使用されているかも確認する必要があります。
食生活は主に
・間食の回数・有無
・糖分の摂取頻度
などを確認しています。
これらの項目を整理して『カリオグラム』というソフトに入れて
『将来むし歯が発生する可能性(%)』計算します
(画像はデントカルトHPより)
こちらのグラフをもとに、予防方法を患者様と一緒に考えています。
唾液検査を実施し、リスクを把握することで初めてその人に合わせた予防方法が提供できます。
なぜむし歯になるのか?その予防方法に関して
むし歯になる主原因はプラークの付着から始まります。
歯が適切に磨けていない部分にはネバネバとした沈着物がたまっていきプラークになります。これらの変化は食後数時間で起きます。
プラーク内1gには10億個以上の細菌が存在していると言われ、内部の細菌が『糖を代謝して酸を放出する』ことによって、歯の表面を溶かし、むし歯を形成します。
むし歯を予防するにはどうすれば良いのか?
1960年にKeyesが提唱した「カイスの3つの輪」では、細菌・食事・歯質の3つが重なり合うことでむし歯が発症すると結論づけました

つまりむし歯は多因子性の疾患であると言えます(=いろいろな要因がある)
具体的な予防方法は、
- むし歯の原因となるプラークを適切に除去できるようになる(細菌への対応)
- 細菌が代謝する糖を摂取しない、間食をコントロールする(食事への対応)
- フッ化物を適切に使用できるようになる(歯質への対応)
歯ブラシの指導はされていますでしょうか?
プラークを染め出して、見えやすくすることで効率的に歯ブラシの指導を実施することができます。
PCR(プラークコントロールレコード)という、プラーク付着部位の計測をして客観的に評価します。

PCRは1つの歯を4分割して、全体の何%が汚れているかを計算します。
1つの目標としては、PCRを20%以下にすること、理想的には15%以下にすることが望ましいです。
・適切な歯ブラシが選べているか?
・補助清掃器具(フロス・歯間ブラシ)などは使用しているか?
・歯ブラシの動かし方、当て方は適切か?
歯ブラシ指導と一重に言ってもたくさん確認する点はございます。
間食は何回までに制限するか?
食事をとると、口腔内のpHは酸性に傾きます。
酸性に傾いた状態を戻すのに唾液が働きます。
食べる回数が多い方ですと、唾液の働きが正常に働かず、常に口腔内が酸性状態となるためむし歯になりやすい状態となります。
間食は1日1回程度に抑える必要があります
また
・糖分の含まれる飲水物を常備しない
・間食のダラダラ食べを避ける
・糖分の含まれる飲水物をチビチビ飲まない
・ショ糖の含まれる飲食物を認識し、注意する
・pHの低い飲食物を認識し、注意する
なども重要となります。

フッ化物の適正使用はできていますか?
現在、歯磨剤(歯磨き粉)のフッ化物濃度の上限は1450ppmFとなっています。
まずどの濃度の歯磨剤を使用しているか確認してください。

フッ化物の濃度や量の推奨値は年齢に異なります。(詳しくは『4学会合同のフッ化物配合歯磨剤の推奨される利用方法』をご参照ください)
ちなみに6歳以降は1450ppmFが使用できます
三浦歯科でおすすめしている『2-2-2-2法』(スウェーデン法)について説明します。
・1日2回磨く
・磨く時間は2分間
・歯磨き粉のペーストは2cm使用する
・磨いた後は2時間飲食しない
フッ化物が適切に使用できることも、むし歯予防には重要となります。

むし歯は削らない、非切削治療のすすめ!
むし歯はその病気が進行する過程において、う蝕とう窩の2つの段階があります。
う蝕は『歯が溶けている過程』で、進行してう窩である『歯に穴が空いた状態』となります。
う窩を生じていないむし歯であれば、適切な予防方法をとることで削らずにむし歯の進行を止めることができます。
大事なのはここでむし歯の進行状況をしっかりと判断し、削るべきかどうかの判断を下すことです。
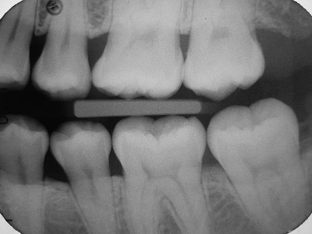
そのためにむし歯の進行度の判断材料となるデンタルX線写真を撮影します。
特に『咬翼法』のむし歯検出率は高く、60%程度と言われています。

それでも60%ですので、
他の診断方法も併用して総合的に判断する必要があります。
非切削治療(削らない治療)が適応であると判断した場合には、むし歯の部位にバーニッシュ塗布をしていきます。
バーニッシュはフッ化物濃度が22500ppmFもあり、むし歯の予防効果が高く、エビデンスのある材料となります(エビデンスがあるという表現は、たくさん研究がなされていて効果に対して科学的な根拠があるという意味です)

また、非切削治療の効果が出ているか、X線写真や視診で定期的に評価してく必要があります。
全てのむし歯が非切削治療の適応となる訳ではないのでご注意ください。
予防歯科って?メインテナンスの本来の意義は?
重要なポイントですが
・予防歯科はメインテナンスだけではありません
・メインテナンスはクリーニングではありません
病気のリスクを評価→患者さん個々に合わせた予防プラグラムを立案→最小限の治療介入→メインテナンス
上記の流れがMTMであり、王道の予防歯科です。
歯を守るためには、その歯を守るためにリスクを把握し、病気になる原因・予防方法を患者様と共有することが大切です。
また、メインテナンスは、クリーニングではありません。
メインテナンスの目的は、
・口腔内の状態を記録し、病気の早期発見をすること
・セルフケア(患者自身)の磨き方を改善する
・病気に対する理解の継続的な確認
・口腔内に対しての意識をあげること
です
1年にクリニックのメンテナンスを4回受けるとしたら
45(分)×4(回/年)=180分
それ以外の時間はご自身でのケア、セルフケアの時間が大部分を占めます。
3(分)×3(回/日) ×365(日)=3285分
180 vs 3285!
つまり、セルフケアを改善することに重点を置くのが一番メインテナンスの価値が高いです。

文責:歯科医師 / 歯学博士 三浦 基
岡崎市・安城市でインプラント治療を検討するなら三浦歯科へ!
各種精密検実施中!予防歯科・インプラント・セラミックス・ホワイトニング・成人矯正・小児矯正など専門的治療もご相談ください
三浦歯科 愛知県岡崎市昭和町上川田9−7 TEL:0564-32-4833
お電話もしくはWebからご予約お待ちしております